Sprunggelenkchirurgie

Differenzierte operative Behandlung unter Berücksichtigung der gesamten Gelenkbiomechanik

Die Sprunggelenkschirurgie hat in der letzten Dekade eine rasante Entwicklung erfahren. Während früher in den meisten Fällen nur eine Operationsart das Standardverfahren darstellte, wird heutzutage eine differenzierte operative Therapie angestrebt. Diese muss dem Leistungs- und Aktivitätsniveau des Patienten Rechnung tragen. Dabei bilden arthroskopische und minimalinvasive Techniken den Schwerpunkt der Behandlung, wobei auch regenerative Maßnahmen zum Einsatz kommen, die in Kombination mit einer Optimierung der Gelenkbiomechanik Beschwerden beseitigen können und langfristig einem Gelenkverschleiß vorbeugen.

Für die Eingriffe stehen in unserer Klinik die modernsten Geräte, Techniken und Teleskopsysteme in HD-Auflösung mit einem 1080p-System zur Verfügung. Die anatomischen Strukturen werden dadurch in einer hervorragenden Bildqualität anatomisch korrekt und naturgetreu dargestellt. Durch eine Optimierung der Nachbehandlung kann die Regeneration zusätzlich beschleunigt und das Ergebnis verbessert werden.

Allgemeine Informationen

Narkose bei Eingriffen am Sprunggelenk

Ein operativer Eingriff am Sprunggelenk wird meist in Vollnarkose durchgeführt. Welche Art der Vollnarkose im Einzelfall die verträglichste ist, sollte individuell nach entsprechender Untersuchung des Patienten durch den Narkosearzt entschieden werden. Alternativ steht für den Eingriff auch eine sog. Spinalanästhesie zur Verfügung, bei der lediglich das Bein betäubt wird und der Patient wach bleiben kann. Gerade bei älteren Patienten mit zusätzlichen Begleiterkrankungen wird diese Form der Betäubung vom Körper besser verarbeitet.

Ablauf der vorstationären und stationären Betreuung

Nach einer vorstationären Vorstellung, bei der der Eingriff ausführlich erklärt, der Patient den Narkoseärzten vorgestellt wird, die Blutentnahme sowie ggf. weitere Untersuchungen (EKG, Rö. Untersuchung) erfolgen, werden die Patienten am OP-Tag morgens nüchtern auf die Station aufgenommen. Vor der Operation finden letzte Kontrollen statt. Wünsche, notwendige Resterläuterungen werden besprochen.

Nach der Operation finden Mobilisation und Betreuung durch die Pflege in Zusammenarbeit mit den Mitarbeitern der Physiotherapie statt; engmaschige ärztliche Kontrolle und Betreuung ist zu jeder Zeit gewährleistet. Die durchschnittliche stationäre Verweildauer beträgt je nach Eingriff 2 Tage.

Nach Entlassung erfolgt die weitere Betreuung durch die niedergelassenen Kollegen. Im folgenden stellen wir typische Krankheitsbilder vor, die bei uns arthroskopisch und minimalinvasiv behandelt werden.

Übersicht über unser Leistungsangebot in der Sprunggelenkchirurgie

Regenerative Knorpel- und Gelenkchirurgie

knorpeldefekt-talus
Tasthaken in einem Knorpeldefekt der Sprungbeinrolle.

Das Sprunggelenk ist das am stärksten belastete Gelenk unseres Körper. Es trägt bei wesentlich kleinerer Fläche eine höhere Last als Knie oder Hüftgelenk. Ein Sprunggelenk muss beim Stand auf einem Bein das gesamte Körpergewicht tragen. Die dynamischen Belastungen für das Sprunggelenk beim Gehen oder Laufen sind noch höher: Bis zum 4- bis 5-fachen des Körpergewichtes. Die Schmerzen und die Einschränkungen im Sprunggelenk können nicht nur das für Beugung und Streckung des Fußes zuständige obere Sprunggelenk betreffen. Auch das für seitliche Kippbewegungen verantwortliche untere Sprunggelenk kann verschleißen, insbesonders bei Sportlern mit ruckartigen Wechselbelastungen auf unebenem Untergrund.

blutclot-im-defekt
Blutpfropf nach Mikrofrakturierung, aus dem neuer Knorpel entsteht.

Diagnostik

Schmerzen durch Gelenkschäden des Sprunggelenks sind anfangs vor allem belastungsabhängig und können zu Schwellungen und zu einer zunehmenden Bewegungseinschränkung führen. Eine radiologische und kernspintomographische Untersuchung zeigt, ob es sich um einen Knorpel-, einen Knochen- oder einen kombinierten Knorpel- und Knochenschaden handelt.

Therapie:

Bei jungen Patienten im Wachstumsalter kann eine Reduktion der sportlichen Betätigung unter Vermeidung von sog. Impact-Sportarten zu einer Heilung führen. Die Substitution von Calcium und Vitamin D verbessert den Knochenstoffwechsel. Bei fortgeschrittenen Schäden stehen modernste Eingriff arthroskopisch oder minimalinvasiv zur Verfügung, die im Leistungsangebot "Regenerative Knorpel- und Gelenkchirurgie" beschrieben sind:

  • Frühbehandlung von Knorpelschäden
  • Mikrofrakturierung (Bild unten) von Knorpeldefekten (Bild oben) und Knochenbohrung
  • AMIC und SAMIC
  • Knorpelzelltransplantation (ACT)
  • Knorpel-Knochen-Transplantation (OATS)
  • Komplexe Kombinationseingriffe an Knorpel und Knochen, wobei ggf. auch spezielle Zugangswege wie z.B. eine Osteotomie und Refixation des Innenknöchels notwendig sind.

Nachbehandlung:

Da die Operationsverfahren je nach Schaden sehr individuell abgestimmt werden müssen, unterscheidet sich entsprechend auch die Nachbehandlung von Patient zu Patient. Oft ist bei größeren Eingriffen eine temporäre Ruhigstellung des Gelenkes notwendig, wobei passive Übungen aus einer Orthese heraus durchgeführt werden können. Im weiteren Verlauf folgen aktive Mobilisationstechniken und eine stufenweise Aufbelastung, wobei die Vollbelastung in der Regel nach 6-12 Wochen wieder erreicht ist.

Behandlung der Gelenkinstabilität

gelenkinstabilitaet
Instabiles Sprunggelenk das bei Belastung außen aufklappt (Pfeil) © Asklepios

Dehnungen, Zerrungen und Risse der Bänder im oberen Sprunggelenk (Bild oben) sind bei Umknicktraumen im Sprunggelenk häufig und können unbehandelt zu immer wiederkehrenden Folgeverletzungen der gleichen Art führen. Dies ist besonders problematisch, wenn sich der Patient an das Umknicken gewöhnt hat und mit instabilem Gelenk seine Sportarten weiter betreibt. Durch die vermehrten Scherkräfte kann es dann zu einem vorzeitigen Abrieb des Gelenkknorpels  kommen (Bild unten), was zu einer Arthrose oder Gelenkverschleiß führt.

knorpelschaden
Großer Knorpelschaden beim Tasthaken (Pfeil), der durch wiederholtes Umknicken bei instabilem Sprunggelenk entstanden ist. © Asklepios

Diagnostik: meist ein oder mehrere Umknicktraumen in der Patientengeschichte

Die Diagnose erfolgt in der Regel unmittelbar nach der Verletzung bzw. dem Umknicktrauma, wobei ein Röntgenbild Brüche und eine Kernspintomographie Bandverletzungen sicher abklären kann.

 

 

 

Therapie: bei frühzeitiger Diagnose meist konservativ möglich

Wird eine Therapie zügig eingeleitet, ist in den meisten Fällen eine konservative Behandlung mit stabilisierenden Verbänden und Schienen, die im Schuh getragen werden können, möglich. Bei einem sehr komplexen und ausgedehnten Bandschaden ist die operative Therapie vom Zeitpunkt nach dem Unfall abhängig:

  • frische Bandverletzungen: in den meisten Fällen ist eine Naht der gerissenen Bandstrukturen möglich, so daß die ursprüngliche Gelenkstabilität wieder hergestellt werden kann.
  • alte Bandverletzungen: bei länger zurückliegenden Verletzungen hat sich oft ein instabiles Narbengewebe gebildet, das trotz Naht keine ausreichende Stabilität mehr bietet. In diesen Fällen müssen die gerissenen Bandanteile durch anderes Gewebe ersetzt werden. Hierzu eignen sich Knochenhautlappen vom Wadenbein oder Sehnen, die vom Fuß oder Kniegelenk entnommen und zum Bandersatz mit Fadenankern befestigt werden können.

Nachbehandlung:

Die Nachbehandlung erfolgt meist in einer Orthese, so dass die genähten Bandstrukturen heilen können. Je nach Ausmaß der biologischen Rekonstruktion erfolgt früher oder später eine Mobilisation über physiotherapeutische Beübungen, wobei die betroffenen Bandstrukturen so lange wie möglich geschont werden sollten. Vor Wiederaufnahmen der sportlichen Betätigung sollten propriozeptive Behandlungselemente gut durchführbar sein.

Behandlung bei Schleimhautentzündungen und freien Gelenkkörpern

freier Gelenkkoerper
freier einklemmender Gelenkkörper (Pfeil), der aus dem Sprunggekenk entfernt werden muss. © Asklepios

Bei chronisch entzündlichen Erkrankungen oder Gelenkschäden kommt es zu einer ständigen Reizung der Gelenkschleimhaut, die dadurch vermehrt Flüssigkeit produziert und stark anschwellen kann. Zudem beeinträchtigt die gewucherte Schleimhaut die Knorpelernährung, so daß ein zunehmender Gelenkverschleiß entstehen kann.

 

 

Diagnostik: typische Einklemmungserscheinungen

Die Patienten klagen durch die hypertrophen Schleimhautlappen und freie Gelenkkörper (Bild) über Schmerzen und Einklemmungserscheinungen mit Blockierungsphänomenen, die die Beweglichkeit im oberen Sprunggelenk beeinträchtigen können.

Therapie: je nach Befund geringe bis aufwendige Maßnahmen

Die hypertrophe Schleimhaut, die einklemmenden Weichteile oder die freien Gelenkkörper können über einen arthroskopischen Eingriff mit speziellen Instrumente minimalinvasiv entfernt werden. Bereits eingetretene Knorpel- und Gelenkbinnenschäden können je nach Ausmaß auch mit Techniken aus dem Leistungsangebot „regenerative Knorpel- und Gelenkchirurgie“ behandelt werden.

Nachbehandlung:

Die Mobilisation des Sprunggelenks erfolgt nach Abschwellung relativ zügig, wobei die typischen Beschwerden der Einklemmung rasch nach der Operation verschwinden.

Behandlung des vorderen Impingements

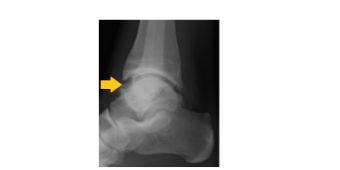
knochenauswuechse
Knochenauswüchse (Pfeil) am oberen Sprunggelenk.

Dieses Krankheitsbild wird auch als soccer player´s ankle (Fußballer Sprunggelenk) bezeichnet, da bevorzugt Sportler bei langjähriger Belastung im Rahmen von Kontaktsportarten wie Fußball, erkranken. Dabei bilden sich je nach Ausmaß des Impingements (d.h. der Einklemmung) knöcherne Auswüchse am Schienbein und später auch am Sprungbein im vorderen Sprunggelenkabschnitt (Bild oben). An diesen Knochenvorsprüngen klemmen Weichteile wie Gelenkschleimhaut, Narben und Kapselanteile ein.

Diagnostik: Einschränkung der Beweglichkeit

Das Abrollen des oberen Sprunggelenks ist häufig schmerzhaft und die Beweglichkeit durch die Weichteileinklemmungen zunehmend eingeschränkt. Häufig schränken den betroffenen Patienten Schmerzen beim Sport, im Alltag und nach der Belastung ein. Die sichere Diagnose erfolgt mittels Röntgenbild und Kernspintomographie.

impingement-tibiaosteophyt
Fräse (li.) mit der große Knochenvorsprünge (Pfeil) entfernt werden. © Asklepios

Therapie: kleine Fräsen führen zum Erfolg

Im Rahmen eines arthroskopischen Eingriffes kann der überschießende Knochen mit speziellen Instrumenten und Fräsen  (Bild) abgetragen werden, was die Beweglichkeit wieder verbessert und die Schmerzen beseitigt. Im Idealfall erfolgt die operative Therapie, bevor irreversible Knorpelschäden auftreten.

Nachbehandlung:

Die Mobilisation des Sprunggelenks erfolgt nach Abschwellung relativ zügig, wobei die typischen Beschwerden der Einklemmung rasch nach der Operation verschwinden.

Seite teilen: