Kniechirurgie

Genaue Ursachenanalyse, Optimierung der Gelenkbiomechanik, präzise Operation und gute Nachbehandlung sind die Schlüssel zum Erfolg

Das Kniegelenk ist ein zusammengesetztes Gelenk. Es besteht aus zwei Einzelgelenken, dem Kniescheibengelenk zwischen Oberschenkelknochen und Kniescheibe und dem Kniekehlgelenk zwischen Oberschenkelknochen und Schienbeinkopf.

Die Kräfte im Kniescheibengelenk sind durch die langen Hebel und Drehmomente sehr hoch und können beim Gehen das 3 fache, bei tiefer Kniebeuge das 7,6 fache und bei einem Sprung sogar das 24 fache des Körpergewichts erreichen. Das Kniekehlgelenk ist dagegen ein sog. Drehscharniergelenk, das großen Belastungen standhalten, aber gleichzeitig ausreichend Beweglichkeit ermöglichen muss.

Zur Pufferung und Druckverteilung stehen hier Knorpelüberzüge der Gelenkflächen sowie Menisken zur Verfügung. Die Stabilität wird durch Muskeln, Kapsel und verschiedene Bänder gewährleistet. Unfallbedingte Verletzungen, Achsfehlstellungen und Muskeldysbalancen sowie anatomische Formvarianten können rasch das ausgeklügelte Gleichgewicht des Kniegelenks empfindlich stören und Spannungsspitzen erzeugen, die Schäden im Gelenk und Beschwerden verursachen. In unserer Klinik stehen moderne diagnostische Verfahren zur genauen Analyse der Beschwerden zur Verfügung. Operativ bieten wir das gesamte Spektrum von Bandrekonstruktion, Knochenersatz, Knorpelwiederaufbau, Achskorrektur oder Kniescheibenbalancing an.

Die Eingriffe werden meist arthroskopisch mit hochauflösenden Kamerasystemen und Miniinstrumenten oder über kleine Inzisionen durchgeführt. Im Idealfall lässt sich dadurch wieder eine normale Gelenkfunktion herstellen. Gerne berät Sie  Prof. Dr. Kreuz in seiner Sprechstunde

Allgemeine Informationen

Diagnostik

Nach Vorstellung des Patienten wird zunächst anhand eines ausführlichen Gesprächs auf mögliche Ursachen, Art, Dauer der Beschwerden, Risikofaktoren und Voroperationen eingegangen. Danach schließt sich eine klinische Untersuchung an, bei der das Kniegelenk anhand spezifischer Tests in Bezug auf Druckschmerz, Erguss, Beweglichkeit, Stabilität und bestimmte Weichteilstrukturen wie die Menisci in Zusammenschau mit der gesamten Gelenkbiomechanik beurteilt wird.

Als apparative Untersuchungstechniken stehen der Ultraschall, Röntgenaufnahmen, Kernspin- und Computertomographien des Kniegelenks und seiner angrenzenden Strukturen zur Verfügung. Bei entzündlichen Erkrankungen sind ggf. auch Blutuntersuchungen oder Probeentnahmen aus dem Gelenk notwendig. Gerne beraten wir Sie in unserer Sprechstunde.

Narkose bei Eingriffen am Knie

Für einen Eingriff am Kniegelenk stehen zwei Narkosetypen zur Verfügung:

  • Vollnarkose: Der Patient schläft während dem gesamten Eingriff und wacht auf, wenn die Operation beendet ist.
  • Spinalanästhesie: Bei dieser Form der Narkose werden nur die Beine betäubt, der Patient selbst kann während dem Eingriff wach bleiben.

Welche Art der Narkose im Einzelfall die verträglichste ist, sollte individuell nach entsprechender Untersuchung des Patienten durch den Narkosearzt entschieden werden.

Ablauf der vorstationären und stationären Betreuung

Nach einer vorstationären Vorstellung, bei der der Eingriff ausführlich erklärt, der Patient den Narkoseärzten vorgestellt wird, die Blutentnahme sowie ggf. weitere Untersuchungen (EKG, Rö. Untersuchung) erfolgen, werden die Patienten am OP-Tag morgens nüchtern auf die Station aufgenommen. Vor der Operation finden letzte Kontrollen statt. Wünsche, notwendige Resterläuterungen werden besprochen.

Nach der Operation finden Mobilisation und Betreuung durch die Pflege in Zusammenarbeit mit den Mitarbeitern der Physiotherapie statt; engmaschige ärztliche Kontrolle und Betreuung ist zu jeder Zeit gewährleistet. Die Eingriffe werden entweder ambulant mit Entlassung am OP-Tag oder stationär mit einer durchschnittlichen Krankenhaus-Verweildauer von 2 Tagen durchgeführt.

Nach Entlassung erfolgt die weitere Betreuung durch die niedergelassenen Kollegen. Im Folgenden stellen wir verschiedene Methoden zur Wiederherstellung eines funktionstüchtigen Gelenkes vor.

Nachbehandlung

Die postoperative Behandlung variiert je nach Eingriff, Patient und Ausmaß des Schadens. In den meisten Fällen beginnt die Nachbehandlung mit abschwellenden Maßnahmen zunächst  passiv, wobei eine Motorbewegungsschiene neben Physiotherapie und speziellen Orthesen zum Einsatz kommen. Im weiteren Verlauf stehen dann zunehmend aktiv-assistive und aktive Beübungen zur Stabilisierung des Gelenks und zur Festigung des neuen Knorpelregenerates im Vordergrund. Die Nachbehandlung ist durch die niedergelassenen Kollegen möglich.

Unser Leistungsangebot in der Kniechirurgie

Regenerative Knorpel- und Gelenkchirurgie

Behandlungsgründe / Indikationen:

Knorpel- und / oder Knochendefekte im Kniegelenk unterschiedlicher Tiefe und Größe.

act-regenerat
Stabiles Knorpelregenerat dessen Festigkeit ein Jahr nach ACT mit einem Tasthaken (Pfeil) überprüft wird. © Asklepios

Methoden: High Tech, Stammzellen und Transplantationstechniken für eine umfassende Behandlung kleiner, großer und komplexer Defekte

Für die Behandlung von Knorpel- und / oder Knochendefekte stehen modernste Eingriffe arthroskopisch oder minimalinvasiv zur Verfügung, die zu unseren Spezialgebieten gehören und im Leistungsangebot "Regenerative Knorpel- und Gelenkchirurgie" beschrieben sind:

  • Frühbehandlung von Knorpelschäden
  • Mikrofrakturierung und Knochenbohrung
  • AMIC und SAMIC
  • Knorpelzelltransplantation (ACT; siehe Bild)
  • Knorpel-Knochen-Transplantation (OATS)
  • Komplexe Kombinationseingriffe an Knorpel und Knochen

Unbehandelte Knorpelschäden mit anhaltenden Beschwerden können zu einem vorzeitigen Gelenkverschleiß führen. Gerne beraten wir Sie über die verschiedenen Behandlungsmöglichkeiten mit dem aktuellen wissenschaftlichen Hintergrund.

Behandlung von Meniskusschäden

meniskuslappenriss
Meniskusslappenriss (Pfeil) der mit einem Instrument(li.) überprüft wird. © Asklepios

Der Meniskus verteilt den Druck und die Last im Kniegelenk und hilft somit einem vorzeitigen Gelenkverschleiß vorzubeugen. Aufgrund der Belastung sind Verletzungen des Meniskus sehr häufig (Bild). Dabei stehen verschiedene Behandlungen zur Verfügung, wobei so viel Meniskusgewebe wie möglich erhalten werden sollte, um einen vorzeitigen Gelenkverschleiß zu verhindern.

meniskusteilresektion
Sparsam teilresezierter Meniskus (Pfeil), der mit Tasthaken überprüft wird. © Asklepios

Therapie: Moderne Techniken zum Erhalt und Ersatz von Meniskusgewebe

Folgende Behandlungsmethoden stehen bei Meniskusschäden zur Verfügung:

  • Meniskusteilresektion:
    Nicht immer ist ein Erhalt des Meniskus nach Verletzung oder Schädigung möglich. Dann hilft eine sparsame Entfernung der geschädigten Meniskusanteile (Bild) um Schmerzen zu beseitigen und die volle Aktivität wieder zu ermöglichen.
     

meniskusnaht
Meniskusmaht (Pfeil). © Asklepios

  • Meniskusnaht:
    Gerade im jungen Alter sollte ein Meniskus falls möglich erhalten bleiben und die Naht der gerissenen Anteile erfolgen (Bild). Dies erfolgt mittels verschiedener arthroskopischer Techniken (all-inside, inside-out, outside-in), die je nach Lokalisation der Schädigung Anwendung finden.
     

kuenstl-meniskus-ersatz
Implantation eines künstl. Meniskus mit einem Spezialinstrument (Pfeil). © Asklepios

  • Künstlicher Meniskusersatz:
    Im Einzelfall besteht auch die Möglichkeit geschädigtes Meniskusgewebe durch einen sog. künstlichen Meniskus partiell zu ersetzen (Bild).
  • Gerne beraten wir Sie über die verschiedenen Behandlungsmöglichkeiten mit dem aktuellen wissenschaftlichen Hintergrund.

Behandlung von Bandverletzungen

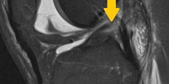
mr-schnitt-kreuzbandruptur
MRT des Kniegelenks mit weißem Gelenkerguß und Kreuzbandriß (Pfeil). © Asklepios

Das Knie wird durch wichtige Bandstrukturen, die im und außerhalb des Gelenks verlaufen, stabilisiert. Wenn ein Band durch einen Unfall reißt, verliert das Gelenk seinen Halt und die Scherkräfte nehmen zu. Dadurch wird der Gelenkknorpel geschädigt und es entsteht langfristig ein schmerzhafter Gelenkverschleiß. Deshalb muss die Stabilität des Gelenks zügig wieder hergestellt werden, um eine mechanische Überlastung des Knorpels zu verhindern. Je nach verletzter Bandstruktur stehen dabei verschiedene Behandlungsmöglichkeiten zur Verfügung.

kreuzbandersatz
Kreuzbandersatz mit körpereigener Sehne. (Pfeil). © Asklepios

Therapie: Breites Spektrum an konservativen und operativen Behandlungsverfahren

  • Seitenbänder: das Innenband ist ein breites langes Band, das aus einem oberflächlichen und tiefen Anteil besteht und großflächig am Knochen ansetzt. Risse heilen in diesem großen Bandkomplex durch die breiten Kontaktflächen meist sehr gut ohne Operation mit speziellen Schienen. Das Außenband ist dagegen sehr schmal und hat nur eine kleine Knochenansatzfläche. Risse müssen deshalb meist operativ versorgt und genäht oder durch Bandplastiken behandelt werden.
  • Kreuzbänder: das vordere Kreuzband kann bei Unfällen, bei denen das Knie verdreht wird, reißen (Bild oben). Gerade bei jungen und sportlich aktiven Patienten sollte das Band unbedingt rekonstruiert werden, da im instabilen Gelenk sonst weitere Folgeschäden auftreten können. Je nach Art der Ruptur muss das Band deshalb genäht oder auch durch eine körpereigene Sehne ersetzt werden. Reißt das Band bei einem schweren Unfall erneut, gibt es auch weitere Techniken, um das Band ein zweites Mal zu rekonstruieren. Das hintere Kreuzband reißt dagegen wesentlich seltener und kann in vielen Fällen durch seine gute Durchblutung konservativ mit speziellen Schienen und Nachbehandlungsprogrammen behandelt werden. Gerne beraten wir Sie über die verschiedenen Behandlungsmöglichkeiten.

Behandlung der Kniescheibeninstabilität

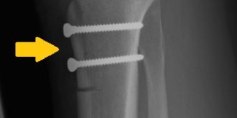
achsenkorrektur
Achsenkorrektur mit Öffnen des Unterschenkels (Pfeil) und Fixierung mit einer Platte.

Die Kniescheibe ist das größte Sesambein des menschlichen Körpers und überträgt die Muskelkraft vom Ober- zum Unterschenkel, damit das Kniegelenk gestreckt werden kann.

 

Bei jeder Kniebewegung gleitet die Kniescheibe in einem Knochenlager des Oberschenkelknochens, das allerdings nur eine schlechte Führung gewährleistet.

patellazentrierung
Tuberositasversatz und Knochenfixierung (Pfeil) mit zwei Zugschrauben. © Asklepios

Entsprechend sind Bandstrukturen auf der Innen- und Außenseite des Gelenks notwendig, die die Kniescheibe in der richtigen Position halten. Sind diese Bänder zu schwach und / oder die knöcherne Führung zu gering, gleitet die Kniescheibe nicht in der Mitte, sondern auf der Außenseite der Knochenrinne und kann aus dem Gleitlager herausspringen. In diesen Fällen stehen verschiedene Behandlungsmöglichkeiten zur Verfügung.

Therapie: Gezielte Eingriffe an Bandstrukturen und Knochen

  • Bandnähte und -plastiken: sind die Bänder zur Führung der Kniescheibe noch intakt, kann in einigen Fällen eine Raffung der Bandstrukturen ausreichen. Ist das wichtigste Band - das sog. mediale patellofemorale Ligament (MPFL) - dagegen gerissen, kann das Band entweder genäht, am Knochen wieder befestigt oder auch durch eine körpereigene Sehne ersetzt werden.
  • knöcherne Eingriffe: in einigen Fällen besteht bereits eine anlagebedingte Fehlform / -position der Kniescheibe oder ein zu flaches Gleitlager im Oberschenkelknochen, so dass die Kniescheibe keine ausreichende Führung hat. In diesen Fällen ist eine Vertiefung des Gleitlagers (sog. Trochleaplastik) oder eine Zentrierung der Kniescheibe in das Gleitlager durch einen Knochenversatz (Bild) (sog. Tuberositasversatz) möglich.

Welche Operation für Sie am besten ist, muss durch eine individuelle Untersuchung und bildgebende Verfahren entschieden werden. Gerne beraten wir Sie über die verschiedenen Behandlungsmöglichkeiten.

Behandlung von Beinachsenfehlstellungen (sog. O- und X-Beine)

Die Beinachsen des Menschen sind nicht immer gerade, sondern können auch eine Achsenfehlstellung im Sinne eines O-Beins (meist Männer) oder eines X-Beins (meist Frauen) haben. Bei stark ausgeprägten Fehlstellungen kommt es durch die ungleiche Druckverteilung im Kniegelenk zu einer einseitigen Gelenkabnutzung, die mit Knorpel-, Meniskusschäden und Schmerzen verbunden ist. Bevor derartige Verschleißerscheinungen auftreten, sollte die Beinachse frühzeitig korrigiert werden. Die Therapie hängt dabei vom Alter ab.

hto
Achskorrektur mit Öffnen des Unterschenkels (Pfeil) und Fixierung mit einer Platte. © Asklepios

Therapie: Altersabhängige Eingriffe entlasten den Knorpel und verhindern einen vorzeitigen Gelenkverschleiß

  • Kinder und Jugendliche: am einfachsten lässt sich die Behandlung während des Wachstums durchführen (siehe Leistungsangebot Kinderorthopädie), indem die Wachstumsfuge durch den minimalinvasiven Einbau kleinster Plättchen gezielt gesteuert wird. Dadurch entsteht eine gerade Beinachse.
  • Erwachsene: bei bereits geschlossener Wachstumsfuge muss im Gegensatz zu Kindern und Jugendlichen der Unter- oder Oberschenkelknochen je nach Ort der Fehlstellung geöffnet und mit einer Platte und Schrauben wieder in der richtigen Position befestigt werden (Bild).

Lassen Sie Ihre Knieschmerzen und Achsfehlstellungen abklären, um langfristig einem Gelenkverschleiß vorzubeugen.

Komplexe Kombinationseingriffe am Kniegelenk

Bei komplexen Knieverletzungen und Knorpelschäden sind häufig viele Gelenkstrukturen geschädigt oder überlastet. In diesen Fällen müssen oft erst die biomechanischen Voraussetzungen geschaffen werden, damit Schäden im Gelenk - wie Knorpeldefekte - überhaupt erst behandelt werden können und heilen.

Je nach Schaden kann es dabei sinnvoll sein, arthroskopische und offene Eingriffe zu kombinieren. Die Behandlung folgender Schäden und Fehlstellungen ist dabei durch komplexe Eingriffe kombinierbar:

  • Verschiedenste Techniken der regenerativen Knorpel- und Gelenkchirurgie

(siehe Kapitel "regenerative Knorpel- und Gelenkchirurgie")

  • Bandplastiken
  • Stabilisationsoperationen der Kniescheibe
  • Beinachskorrekturen

Welche Eingriffe bei Ihnen im Falle eines komplexen Kniebinnenschadens sinnvoll sind, erfordert eine genaue Abklärung. Gerne beraten wir Sie in unserer Sprechstunde.

Seite teilen: